Reproduction et sexualité chez les êtres humains [4e M2]. 8C

Il était une fois la vie 🙂

A. Qu’est-ce que la puberté ?

Activités
  • Mobiliser vos connaissances :
    • Mobiliser vos connaissances sur la puberté à l’oral
    • S’informer sur la puberté : décrire les courbes 4 et 5 p. 305.
    • communiquer schémas anatomiques à compléter à l’aide du schéma interactif en ligne https://svt.pages.ac-besancon.fr/repro/
    • Synthèse : retrouve à l’aide des documents p. 304 et 305 l’ensemble des modifications liées à la puberté et présente-les dans un tableau à trois colonnes :
Modif. communes filles garçons Modif. propres filles Modif. propres garçons
    • Se corriger

Bilan 1 mission 2
  • La puberté est une période de transformations (physique et psychologique), à la fin de laquelle les appareils reproducteurs sont devenus fonctionnels.
  • Les caractères sexuels sont de deux types :
    • primaires = présents dès la naissance (pénis, vagin...)
      ou
    • secondaires =ceux qui se développent à la puberté (poitrines, barbe, règles, éjaculation, pic de croissance…).
  • Tu dois être capable d’ annoter un schéma muet avec les mots soulignés (niveau expert : refaire ces schémas avec annotations)
    schémas anatomiques organes sexuels
    doc eleves organes reproducteurs

Vos questions → boîte à questions


B.Comment fonctionnent les appareils reproducteurs ?

Activité 1 : décrire le cycle de la femme
  • S’informer doc. 1 et 2 p. 310 : décrire les documents, expliquer l’origine des règles.
  • Rédiger une synthèses (début du bilan 2)

Activités 2 → études chez les hommes

  • Raisonner → livre p. 306-307
    • 1. Doc. 3 . Exploiter les expériences 1 et 2 pour montrer le rôle du cerveau dans la production des spermatozoïdes.
    • Bien lire et comprendre l’expérience 3.
    • 2. Doc. 3 et 4 . Expliquer comment le cerveau contrôle à distance le fonctionnement testiculaire.
    • 3. Doc. 5 . Citer un exemple de l’action de la testostérone.
  • Communiquer → schéma fonctionnel
    • Construire un schéma logique complet présentant le contrôle hormonal de l’appareil reproducteur masculin à l’aide des mots clés à définir en amont.

Exemple de correction en ligne du schéma du contrôle hormonal déclenché à la puberté chez l’homme

Activités 3 → étude du contrôle du cycle des femmes

  • S’informer et raisonner → livre p. 310-311
    • doc. 3 et 4 p. 311 : montrer comment est contrôlé l’utérus.
    • doc. 5 p. 311 : préciser ce qui déclenche les règles.
  • Communiquer : construire un schéma logique de l’action des hormones sexuelles chez les femmes.


Bilan 2 mission 2
  • L’organe sexuel de la femme présente un cycle de fonctionnement (contrairement à celui de l’homme) :
    • Les règles apparaissent tous les 28 jours environs, et le jour 1 des règles = jour 1 du cycle.
    • Au 14ème jour, il y a l’ovulation, c’est quand un des deux ovaires expulse un ovule dans une trompe,
      ovulation
  • Une hormone est une substance naturelle produite par un organe, transportée par le sang, puis qui agit sur un autre organe, entraînant ainsi une réponse.
  • Le fonctionnement des appareils reproducteurs est contrôlé par des hormones sexuelles à partir de la puberté.
hormone

Raisonner→ exercices 4 et 5 p. 322-323


C. Comment un rapport permet-il la naissance d’un nouvel individu ? 

Activités 1
  • Raisonner : maturité, consentement, projet de vie, couple et stabilité.
  • Mobiliser vos connaissances et discerner le vrai du faux : bref je suis né
  • Observer des gamètes (cellules reproductrices) au microscope et s’informer à travers une vidéo
  • Communiquer : compléter ce tableau
- Chez l’homme+ doc. 1 p. 306 Chez la femme+ doc. 3 p. 309
Nom des cellules reproductrices
Croquis
Lieu de production
Quantité approximative de cellules produites et à quelle fréquence
Taille approximative
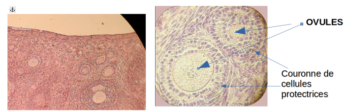
photo d’ovaires
schéma cellule reproductrice féminine
  • Exercices d’application : fiche Bordas 4e SVT éd. 2007 p. 134
    exercice Bordas reproduction 2005

Activité 2 → fiche à remplir à l’aide de la vidéo et du livre p. 312

  • Numéroter dans un ordre logique ces images
  • Mobiliser des connaissances : proposer un titre pour chaque photo et replacer chaque lettre sur le schéma anatomique.
    exercice sur la fécondation

    source : http://svt.ac-dijon.fr/schemassvt/IMG/gif/repro6.gif auteur Alain Gallien

    activites_fecondation

Activités 3→ le développement de l’enfant

  • S’informer sur le développement intra utérin de l’enfant et être capable de citer les principales étapes du développement de l’embryon jusqu’à la naissance d’un nouvel individu
    • Vidéo
    • Doc. 5 et 6 p. 313

Bilan 3 mission 2
  • Les cellules reproductrices sont les ovules et les spermatozoïdes.
  • La fécondation est la fusion entre deux cellules reproductrices (mâle et femelle).
  • La cellule-œuf est la cellule issue d’une fécondation, elle donnera un nouvel individu après de nombreuse divisions cellulaires.

+ schéma fécondation

schéma de la fécondation à l’enfant

  •  

Exercices d’application : fiche Bordas 4e SVT éd. 2007 p. 150
exercice Bordas reproduction 2005

  •  

Réviser en ligne avec " Le Livre scolaire " : https://www.lelivrescolaire.fr/page/13534652


D. Comment aider des couples stériles à procréer ?

Activités

Bilan 4 mission 2
  • Certains couples souffrent d’un problème de fertilité. Ces couples peuvent avoir recourt aux techniques de PMA.
  • PMA : procréation médicalement assistée.

+ croquis simplfié d’une des technique de PMA : la fécondation in vitro

Pour aller plus loin :

E. Comment maîtriser sa fertilité ?

Activités Raisonner
  • Proposer des façons logiques pour limiter la possibilité de grossesse.
  • Exercice 6 p. 323 (pilule du lendemain)
  • Présentation de moyens contraceptifs en salle + fiche (le stérilet)


Bilan 5 mission 2
  • La contraception : c’est l’ensemble des dispositifs à mettre en place avant un rapport sexuel pour limiter la possibilité de grossesse.
  • Exemple : pilule contraceptive (action hormonale), préservatif masculin ou féminin (action mécanique).
    humour
    humour

Pour aller plus loin :

  • Exercices d’application : fiche Bordas 4e SVT éd. 2007 p. 164
    exercice contraception 2022
  • Documentaire MGEN : une jeune fille raconte sa puberté

F. Qu’est-ce que l’avortement ?

Activités
  • S’informer sur les avortements spontannés
  • Raisonner → esprit critique et désinformation
    • IVG : l’histoire d’une loi (documentaire vidéo MGEN)
    • Actualité
    • débat


Bilan 6 mission 2
  • IVG : interruption volontaire de grossesse
  • Se renseigner sur https://ivg.gouv.fr/ et auprès de l’infirmière scolaire


G. Les infections sexuellement transmissibles

Activités
  • Diaporama et documentaire MGEN sur le SIDA
  • Enquête SIDA + vidéo témoignage de personne vivant avec le VIH.
    recherche SIDA 4e 2025
  • Un autre exemple d’IST-> relever les troubles/conséquences de cette IST. Existe-t-il un traitement ?

Bilan 7 mission 2
  • IST signifie « infection sexuellement transmissible ». exemple : le SIDA.
  • Certaines IST peuvent rendre stérile.
  • Il existe un vaccin pour lutter contre le microbe responsable des cancers du col de l’utérus.


MOTS CLÉS
  • PUBERTÉ
  • OVULATION
  • HORMONE
  • CELLULE REPRODUCTRICE
  • CELLULE-ŒUF
  • FÉCONDATION
  • PMA
  • CONTRACEPTION
  • IVG
  • IST


carte 4e M2


Mémo niveau expert


Mémo avec schémas